应用领域:
- 外泌体富集(Exosome Harvesting) 
- 体外PK/PD模型 (In Vitro Toxicology) 
- 单抗生产 (Monoclonal Antibody Production) 
- 重组蛋白生产 (Recombinant Protein Production) 
- 细胞共培养 (Cell Co-culture)等等 

细胞培养系统是干细胞与293细胞等生产外泌体的理想反应器。由于外泌体不能透过纤维,可收获高浓度的外泌体,并且细胞碎片显著降低。外泌体还能长时间持续收获,保持活性不变。
使用培养瓶生产外泌体时,需加入血清,因而存在外源外泌体与蛋白杂质。而细胞在FiberCell系统中培养时,循环培养基中的外泌体不会进入细胞生长的空间,并且该系统也易适用于无血清环境,或使用血清替代物(CDM-HD,FiberCell)培养,从而得到高纯度与高浓度的外泌体,中型培养筒的单次收获相当于200-250个T175 培养瓶。

中空纤维富集的外泌体,纯化后以NTA分析(A)和透射电镜(B)验证其物理特性。相较于2D平板培养,中空纤维可以更有效地富集外泌体(C)。


体外PK/PD模型是指借助体外装罝来模拟药物在体内的药代动力学过程和药效动力学的研究方法。与传统的抗菌药物药效学研究方法相比,该模型能够直接体现体内抗菌药物动态变化过程中与细菌或细胞的相互作用,且不受实验动物的限制。
FiberCell系统可以实现单一药物或同时两种药物的体外PK/PD模型, 更精确地监控剂量和代谢状况。
欧洲药品管理局(EMA)已批准中空纤维感染模型用于体外毒性测试,得到的抗生素药物数据可以直接用于临床申报。


杂交瘤细胞会分泌转化生长因子-β(TGF-β),它是一种会抑制杂交瘤细胞生长的细胞因子。功能型TGF-β的分子量大约是 27 kD,截留分子量大的培养筒允许TGF-β扩散通过,所以由于浓度差异,TGF-β会自然进入循环培养基,可以减小或者消除对细胞的抑制效果;而杂交瘤细胞分泌的抗体则在ECS(纤维管外空间)堆枳, 并可达到很高的浓度。
细胞附着在多孔支架上,类似于体内生长方式。在中空纤维系统内,细胞可以维持活力和分泌代谢物数月或以上。中空纤维系统内的细胞不需要传代,因为一定比例的细胞会处于静止期,即它们会分泌蛋白但停止分裂。例如,有在FiberCell系统内培养杂交瘤细胞生产单抗一年以上,另外有连续培养胶质瘤细胞近两年。

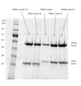
产物未经纯化的电泳图
MAb 1:体积60 mL,浓度2.8 mg/mL,共168 mg,3周消耗9 L培养基
MAb 2:体积70 mL,浓度2.3 mg/mL,共159 mg,3周消耗11 L培养基
采用FiberCell Systems中空纤维细胞培养系统生产单克隆抗体的优点:

重组CHO细胞分泌的六聚体蛋白hexeramized IgG1在平板中不容易得到。如在T150 Flask培养,只能得到60%的六聚体,大约有 40%的蛋白无法正确折叠,而呈四聚体的构型。而在FiberCell中空纤维细胞培养系统中大约有95%的蛋白以正确折叠的六聚体(由6个带有3个IgA尾的IgG1亚基组成)形式存在的,几乎不表达四聚体。 总体枳4 L的体系10周可以生产475 mg蛋白。

150 cm2 Flask(上图)与FiberCell系统生产(下图)人重组IgG六聚体比较
峰   A : T150 Flask中培养,得到60%的六聚体
峰 B : T150 Flask中培养,得到40%的四聚体
峰 C : FiberCell中培养,得到95%的六聚体
采用FiberCell Systems中空纤维细胞培养系统做重组蛋白生产具有如下优势:

微孔纤维特性和可控的细胞外基质为细胞共培养提供了一个理想环境。
如下图所示,在纤维内培养内皮细胞的同时,可以在纤维外培养血管平滑肌细胞;实验表明,当流动速率变化时,平滑肌蛋白结构和内皮素受体表达会受到直接的影响,原因是由内皮细胞分泌的某些能够穿过纤维的物质可以使平滑肌发生改变。
也可以在纤维外同时培养两种细胞,如胸腺上皮细胞与胸腺纤维原细胞共同培养来形成胸腺结节。密度足够高的两种细胞培养在足够紧密的空间以观察相互作用。

与血管平滑肌共同培养的牛大动脉内皮细胞